SEVERE EPIGASTRIC AND LEFT UPPER QUADRANT PAIN RADIATING TO THE SHOULDER
INTERESTING CASE
Submitted by I Yuile, St Mary's Hospital, London
Presentation:
A 60-year-old female presented to a private GP clinic with a 3-week history of severe epigastric and left upper quadrant pain radiating to her left shoulder. She had recently been on a holiday cruise and admitted to eating and drinking excessively which she thought was the cause of her symptoms. She was experiencing a loss of appetite in the 3 weeks leading up to her appointment due to pain. The patient’s surgical history included an uncomplicated gastric bypass 3 years ago. A general practitioner queried gallbladder or pancreatic pathology or an abdominal aortic aneurysm and requested an abdominal ultrasound be performed.
No abnormality was detected in the spleen, liver, biliary tree, pancreas, kidneys or aorta. There was no ascites. However, images 1 and 2 demonstrate the patient’s region of pain.
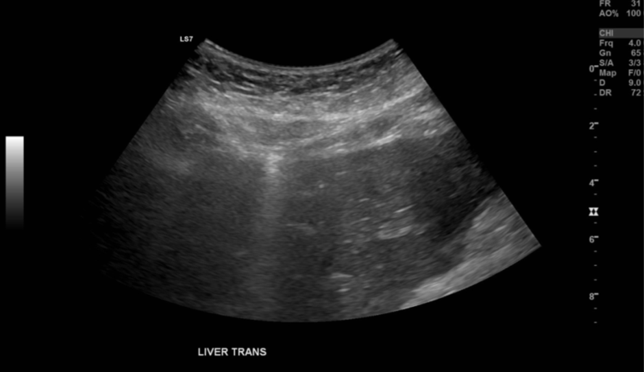
![]() |
Figure 1. Image of the left lobe of liver in transverse. |
Small pockets of gas with ring down artifact are seen along the peritoneal line.
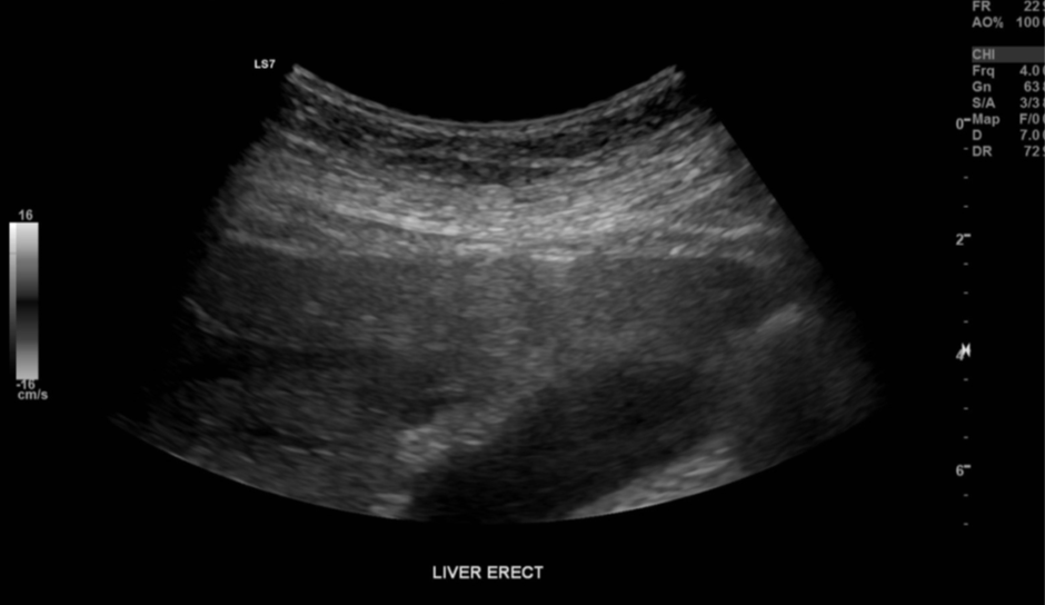
![]() |
Figure 2. Example of the subtle nature of small pockets of intraperitoneal air. |
Note how the two linear strong reflectors at the liver capsule differ from the rest of the liver margin.
Case Details:
Upon scanning, the patient was acutely tender in the epigastrium. When lying in the left posterior oblique position, ringdown artifact starting just superficial to the left lobe of the liver was noted. This artifact was subtle but reproducible when scanning in different positions and corresponded to the patient’s main region of pain.
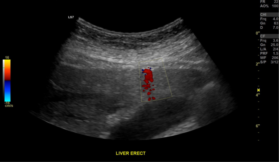
![]() |
Figure 3. |
The presence and recognition of the twinkling artifact behind gas can increase diagnostic confidence.
What is the probable diagnosis based on the imaging findings?
| To see the diagnosis, please click here |






