Infectious mononucleosis with splenic rupture
Submitted by: Mr Andrew Dubojski (Sonographer), Greater Glasgow and Clyde NHS Scotland. Contributing Author: Dr Laura Paul (Consultant Radiologist)
21 year old male patient presented for an abdominal ultrasound with general malaise, abdominal pain, deranged Liver functioning tests and Epstein-Barr Virus induced infectious mononucleosis with hepatosplenomegaly on clinical examination.
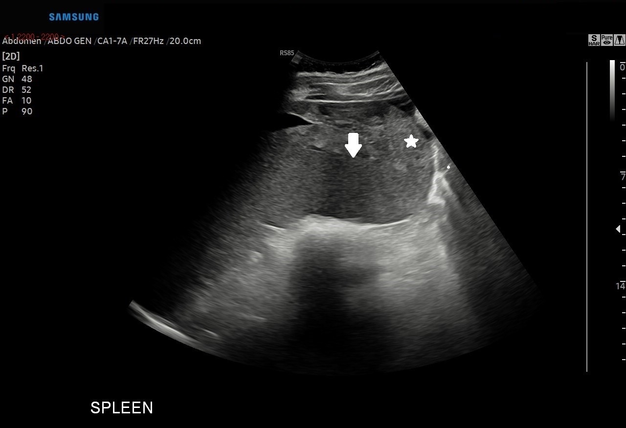
B Mode ultrasound findings confirmed hepatosplenomegaly along with a small volume of free fluid.

Figure 1 above Ultrasound confirms splenomegaly with a small volume of free fluid(arrow).
A heterogenous area with a small area of central fluid left subphrenic space surrounding/indistinct from the superior spleen was identified with no colour doppler flow.

Figure 2

Figure 3

Figure 4
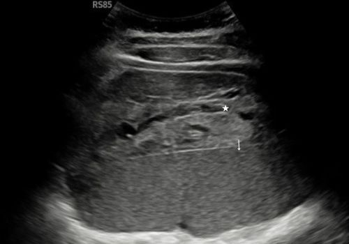
Figure 2, 3 and 4 above; Heterogeneous area(star) with a small area of central fluid in the left subphrenic space surrounding and indistinct from the spleen (arrow)

Figure 5

Figure 6
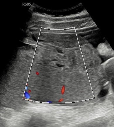
Figure 5 and 6 above; Heterogeneous area adjacent to the spleen with fluid demonstrates no colour doppler flow (arrow).
To see the diagnosis click here



