Funny Looking Kidneys
CASE OF THE MONTH
Submitted by: Richard Clarke1, Rajinder Virdi1, Simon Freeman2, 1Peninsula Radiology Academy, Plymouth , 2Derriford Hospital, Plymouth
Presentation
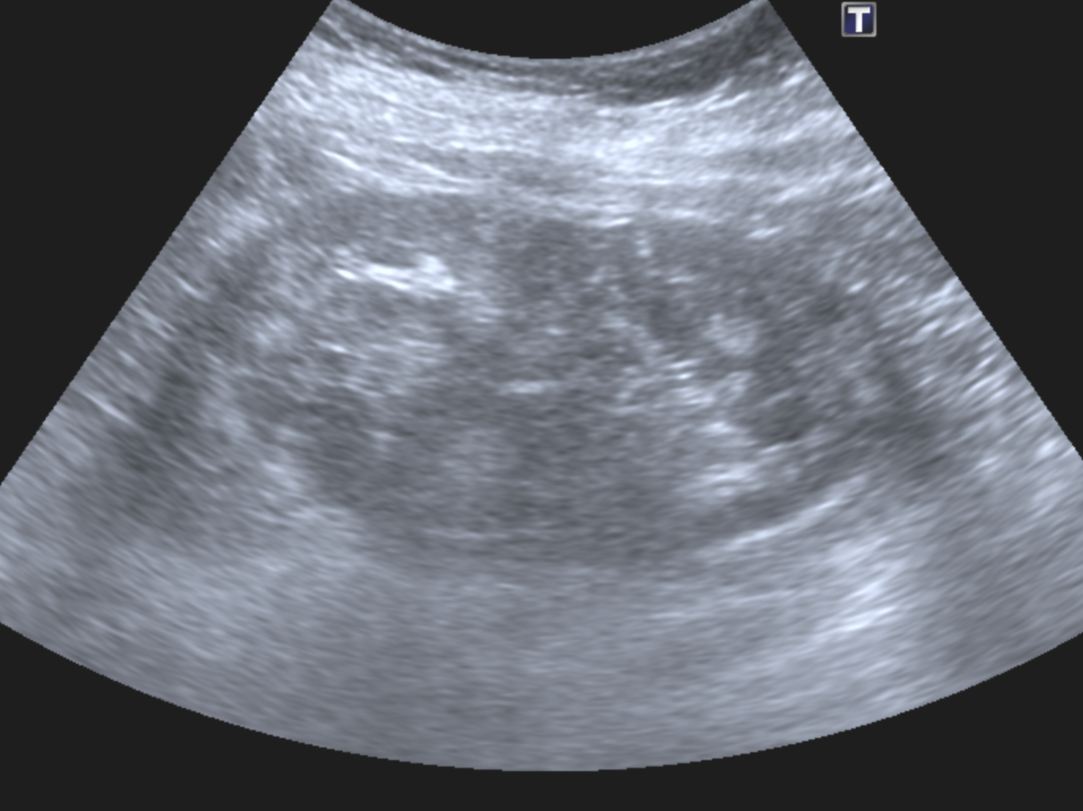
A 45 year old female patient was referred by her GP for a renal ultrasound to investigate hypertension resistant to drug treatment. She was otherwise in good health and had no previous medical history of note or relevant family history. Representative ultrasound images of the kidneys are shown in Figures 1 and 2.
What is the probable diagnosis based on the imaging findings?
| To see the diagnosis, please click here |







