An unusual case of pain in the right upper quadrant
CASE OF THE MONTH
Submitted by : Ali Alsafi, Chris Harvey, Imperial College Healthcare NHS Trust, London
Presentation:
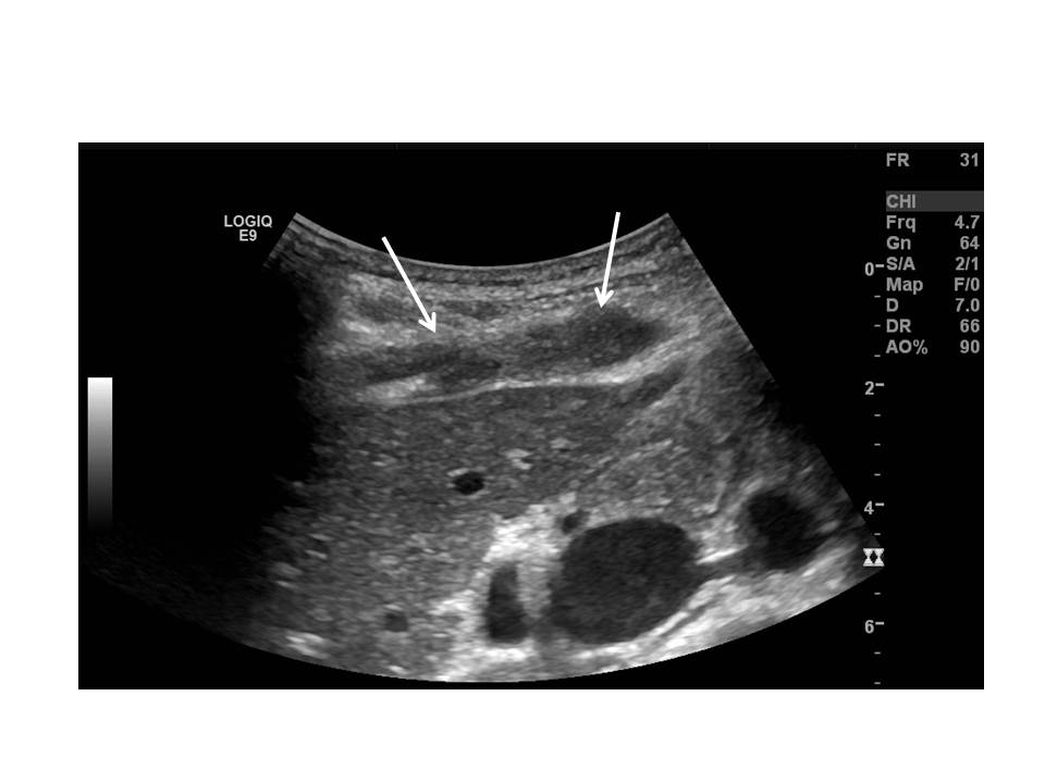
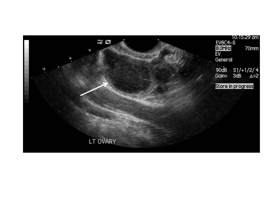
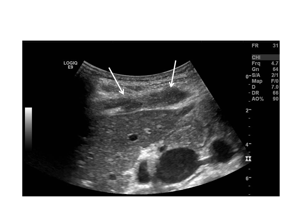
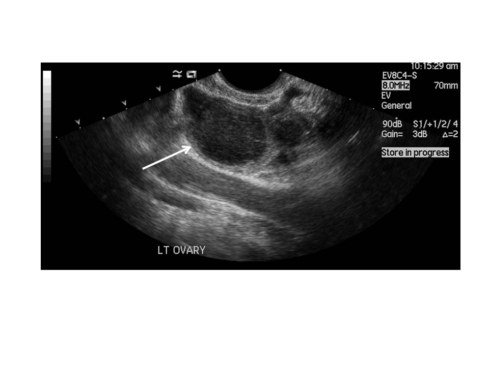
A 37 year-old lady with a three month history of pain in the right upper quadrant was referred by her GP for an abdominal ultrasound. She also had a long history of pelvic pain.
Ultrasound images are shown in Figs 1, 2 and 3.
What is the most likely diagnosis and differential diagnoses?
To see the diagnosis / differential diagnoses please click here






