A Pain in the Neck
CASE OF THE MONTH
Submitted by : Anesh Chavda FRCR, Radiology SpR, Chris Harvey MRCP, FRCR, Consultant Radiologist, Imperial College Healthcare NHS Trust, London
Presentation
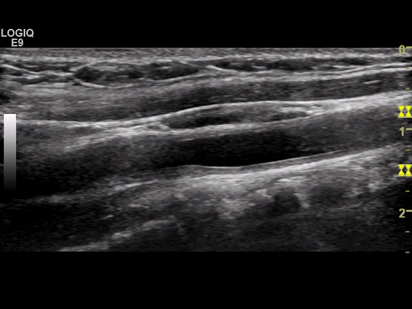
A 28 year old lady presented with transient left arm weakness. This had been preceded by a two month history of fever, malaise, generalized arthralgia and a more focal tenderness in her neck bilaterally. She described subtle weakness raising the possibility of a stroke.
Her investigations included a carotid Doppler (Figs 1, 2 shows grey scale and Doppler cineclips of the right common carotid artery/bulb).
![]() |
Figure 1 |
![]() |
Figure 2 |
What is the most likely diagnosis?
To see the diagnosis please click here





