A Fruitful Ultrasound Investigation for Lower Urinary Tract symptoms
CASE OF THE MONTH
Submitted by : Mirna Al-Khouri, Daniel Kim, Simon Thorogood, Royal Cornwall Hospital, Truro, Cornwall
Presentation:
A 51-year-old male patient was referred for an abdominal ultrasound to investigate ongoing lower urinary tract symptoms, constipation and bloating. Representative sonographic images of the renal system are shown below.
![]() |
Fig 1. Longitudinal image of the right kidney |
![]() |
Fig 2. Longitudinal image of the left kidney |
![]() |
Fig 3. Representative images of the bladder in (a) longitudinal and (b) transverse views. |
![]() |
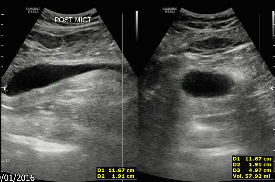
Fig 4. Post micturition views of the bladder in (a) longitudinal and (b) transverse views. |
![]() |
Fig 5. A sagittal CT image demonstrating a contrast-filled urinary bladder. |
What is the most likely diagnosis and differential diagnoses?
To see the diagnosis / differential diagnoses please click here








