A common post interventional complication
Submitted by : Mrs Josie Whitaker, Tauranga Hospital, New Zealand. Contributing authors : Dr Gerard Eager, Kristen Wood, Dr Brendan Murray
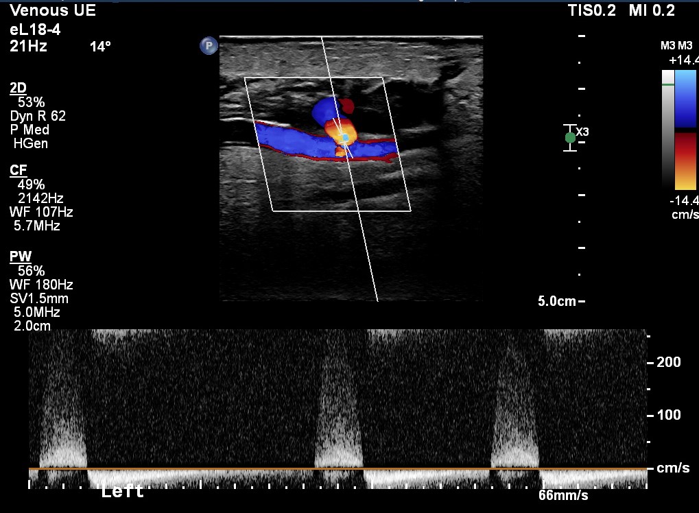
A 76 year old man presented to A & E with increasing hematoma and swelling of his left arm (ACF) 6 days post left brachial artery puncture for an angiography procedure.

Figure 1 - Demonstrated a cystic structure with low level echoes in the left antecubital fossa, directly under the site of the left brachial artery angiography puncture site.

Figure 2 - Demonstrates the findings with Colour Doppler which demonstrate a "yin-yang sign" of swirling blood flow in a small portion of the cystic structure and also the location of the brachial artery deep to this.

Figure 3 - Demonstrates the Spectral Doppler trace, this has a "to and fro" waveform.
To see the diagnosis click here



